A história de um jovem de vinte e sete anos que teve sintomas ignorados por uma década chama atenção para os riscos do diagnóstico tardio de tumor cerebral. O caso aconteceu em Warrington, na Inglaterra, e ganhou repercussão após o paciente exigir exames mais aprofundados.
Após anos convivendo com dores intensas, o engenheiro civil Luke Taylor finalmente descobriu um tumor cerebral raro — já em estágio avançado — o que exigiu cirurgia de emergência e colocou sua vida em risco.
Por que o diagnóstico de tumor cerebral demorou tanto?
Durante cerca de dez anos, Luke Taylor buscou atendimento médico diversas vezes relatando dores de cabeça severas. No entanto, segundo relatos divulgados pelo South West News Service (SWNS), seus sintomas foram frequentemente classificados como enxaqueca.
Esse tipo de situação não é incomum. De acordo com a Brain Tumour Charity, tumores cerebrais podem apresentar sintomas inespecíficos, o que dificulta a identificação precoce.
Além disso, fatores como idade jovem e ausência de histórico clínico relevante podem levar profissionais a descartarem hipóteses mais graves. Ou seja, o contexto clínico pode mascarar sinais importantes.

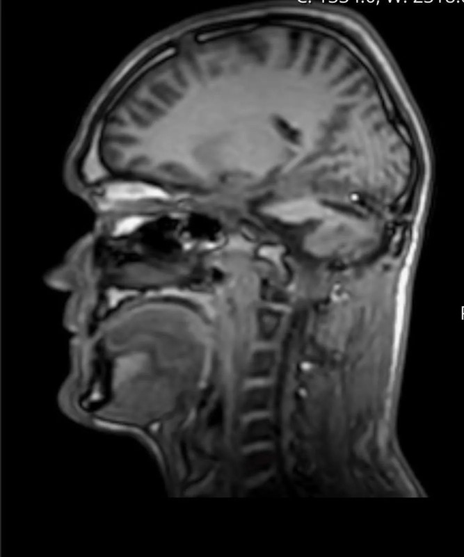
O que é hemangioblastoma e por que preocupa?
O diagnóstico final revelou um hemangioblastoma, um tumor cerebral raro e geralmente benigno, que costuma se desenvolver no cerebelo — área responsável por coordenação motora e equilíbrio.
Apesar de benigno, esse tipo de tumor pode ser extremamente perigoso quando cresce sem controle. No caso de Luke Taylor, ele atingiu o tamanho de uma bola de golfe, comprimindo estruturas vitais do cérebro.
Entre os principais sintomas associados estão:
- Dores de cabeça persistentes e intensas
- Náuseas e vômitos frequentes
- Problemas de equilíbrio
- Alterações cognitivas
- Dificuldade de coordenação motora
Selecionamos o conteúdo do canal Julio Pereira – Neurocirurgião. No vídeo a seguir, o especialista Julio Pereira explica de forma didática o que é o hemangioblastoma, suas causas, sintomas e as opções de tratamento — aprofundando exatamente o tipo de diagnóstico enfrentado por Luke Taylor.
Como a cirurgia de emergência salvou a vida do paciente?
O quadro se agravou em dois mil e vinte e cinco, quando Luke Taylor decidiu exigir uma ressonância magnética. O exame revelou a gravidade da situação. Segundo o próprio paciente, os médicos foram diretos: sem cirurgia imediata, ele poderia ter apenas “dias de vida”.
O procedimento durou cerca de nove horas e, embora tenha sido bem-sucedido na remoção do tumor, trouxe complicações. Um sangramento cerebral exigiu uma segunda intervenção de emergência logo no dia seguinte.
A recuperação foi longa e desafiadora. O jovem precisou reaprender funções básicas, como andar, falar e até se alimentar corretamente — um processo comum em cirurgias neurológicas complexas.

Por que o caso viralizou e gerou alerta nas redes?
Casos como o de Luke Taylor têm ganhado força nas redes sociais por levantarem um debate importante: a negligência involuntária no diagnóstico de doenças graves.
Além disso, há um crescente movimento de pacientes incentivando a chamada “autodefesa médica” — ou seja, insistir em exames quando os sintomas persistem.
Entre os fatores que tornam esse caso relevante estão:
- Longo período de sintomas ignorados
- Idade jovem do paciente
- Gravidade do tumor ao ser descoberto
- Recuperação complexa pós-cirurgia
- Mobilização para arrecadação solidária
Atualmente, Taylor e sua parceira, Nia Jones, participam de campanhas para arrecadar fundos para instituições de apoio a pacientes com tumores cerebrais.
O que esse caso ensina sobre saúde e diagnóstico?
A trajetória de Luke Taylor reforça um ponto essencial: sintomas persistentes não devem ser ignorados, mesmo quando parecem comuns.
Por outro lado, o caso também evidencia os desafios enfrentados por profissionais de saúde diante de quadros clínicos ambíguos. O equilíbrio entre cautela e investigação profunda é fundamental.
No fim, fica a reflexão: até que ponto confiar apenas em diagnósticos iniciais pode colocar vidas em risco?






